Can Lung Cancer Be Mistaken For Pneumonia - Emdocs Net Emergency Medicine Educationpneumonia Mimics Pearls And Pitfalls Emdocs Net Emergency Medicine Education : It may be more difficult to identify.
Dapatkan link
Facebook
X
Pinterest
Email
Aplikasi Lainnya
Can Lung Cancer Be Mistaken For Pneumonia - Emdocs Net Emergency Medicine Educationpneumonia Mimics Pearls And Pitfalls Emdocs Net Emergency Medicine Education : It may be more difficult to identify.. Lung cancer and pneumonia both cause the same symptoms and signs that may include: Doctors sometimes mistake pneumonia for other conditions, leading to dangerous delays in treatment. Diagnostic errors occur frequently in medicine. Amanda nerstad thought she had mild walking pneumonia but was diagnosed with stage 4 lung cancer. However, bacteria and viruses cause the majority of pneumonia infections.
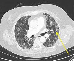
Lung cancer is sometimes found this way. Find out more about her lung cancer symptoms and treatment. Was told to wait 6 months and ct scan again. I had pneumonia 2007 that progressed from no symptoms to er in < 48hrs., successfully treatted with iv antiobiotics and hydration. In this article they describe a variety of pulmonary conditions that can present with imaging features mimicking those of primary lung cancers.
The Stages Of Pulmonary Sarcoidosis What Do They Really Mean Foundation For Sarcoidosis Research from www.stopsarcoidosis.org Lung cancer and pneumonia can, at times, mimic each other on both radiographs and ct. 50 % lung cancer or 50% pneumonia. Won't have the results until july 7th. About 230,000 new cases of lung cancer are diagnosed annually, and about 160,000 lung cancer patients do not survive for more than five years. Diagnostic errors occur frequently in medicine. When sarcoidosis affects the lungs, symptoms can mimic idiopathic pulmonary fibrosis including shortness of breath and a dry cough. It may be more difficult to identify. Lung cancer is sometimes found this way.
Less common diseases that may be confused with pneumonia include pulmonary emboli, or blood clots in the lung;
But the pneumonia density can obscure, or be distal to a cancer. It takes several years for the characteristic symptoms of lung cancer such as coughing up blood, fatigue, and unexplained weight loss to develop. On the 26th i will have a biopsy of the lung. When detected in its earliest stages, lung cancer can often be successfully treated and sometimes even cured. Lung cancer and pneumonia both cause the same symptoms and signs that may include: However, the symptoms of lung cancer differ vastly from bronchitis which is one of the commonest affections of chronic smokers. Less common diseases that may be confused with pneumonia include pulmonary emboli, or blood clots in the lung; Copd is a term used for a group of obstructive lung diseases. If the condition is misdiagnosed or its symptoms are ignored, a patient may not receive appropriate treatment until the cancer has progressed to an advanced stage. Despite the importance of all the causes mentioned by the authors, we would like to emphasize the relevance of fungal infections as an important cause of pulmonary nodules and masses that can mimic lung. I know this is tiny, too small to biopsy. The first time in my early 40's the second time in my early 50's. My primary concern is my daughter
Radiologic imaging is rarely diagnostic. Symptoms and causes of pneumonia are the same regardless of whether you have lung cancer. Pneumonia can be quite serious, but it's also relatively common. However, bacteria and viruses cause the majority of pneumonia infections. Lung cancer is sometimes found this way.
Missed Lung Lesions Side By Side Comparison Of Chest Radiography With Mdct Springerlink from media.springernature.com I like you went through breast cancer. Lung cancer often does not cause symptoms until its later stages. 50 % lung cancer or 50% pneumonia. Pneumonia is an infection of lung tissue usually caused by viruses, bacteria, fungi, and/or parasites. It may be more difficult to identify. <p>angie, <br> <br> it took almost 2 months for me to get my diagnosis of advance stage small cell lung cancer in 2016 after being treated for pneumonia. It is also possible that a cancer diagnosis can be delayed if the cancer is mistaken for pneumonia. Was told to wait 6 months and ct scan again.
On the 26th i will have a biopsy of the lung.
These are the most common reasons for the initial stage of lung cancer to be mistaken for pneumonia. I had pneumonia 2007 that progressed from no symptoms to er in < 48hrs., successfully treatted with iv antiobiotics and hydration. Doctors sometimes mistake pneumonia for other conditions, leading to dangerous delays in treatment. Amanda nerstad thought she had mild walking pneumonia but was diagnosed with stage 4 lung cancer. If the condition is misdiagnosed or its symptoms are ignored, a patient may not receive appropriate treatment until the cancer has progressed to an advanced stage. Sometimes, people with pneumonia may have symptoms similar to lung cancer. Symptoms and causes of pneumonia are the same regardless of whether you have lung cancer. Pneumonia and lung cancer both affect the lungs but one is easily treatable and the other is potentially life threatening. It is also possible that a cancer diagnosis can be delayed if the cancer is mistaken for pneumonia. Bacterial, viral, and fungal infections can all cause pneumonia. When sarcoidosis affects the lungs, symptoms can mimic idiopathic pulmonary fibrosis including shortness of breath and a dry cough. Pneumonia can be quite serious, but it's also relatively common. It may be more difficult to identify.
Sometimes they will be differentiated by time course, biopsy or other testing. However, bacteria and viruses cause the majority of pneumonia infections. Lung cancer and pneumonia can, at times, mimic each other on both radiographs and ct. Diagnostic skills are fundamental to the practice of medicine, yet misdiagnosis causes death or disability to over 150,000 patients annually. I like you went through breast cancer.
A Shapeshifting Fungus Lives In The Dust It S Infecting Across The American West from images.takeshape.io However, the symptoms of lung cancer differ vastly from bronchitis which is one of the commonest affections of chronic smokers. Lung cancer results in more fatalities in the united states than any other kind of cancer. Boop can mimic lung cancer.and lung cancer can quite easily be mistaken as a pneumonia. Many people get pneumonia at least once during their lifetime. I am so glad that it had not gone any longer, or i would likely not be here today. About 230,000 new cases of lung cancer are diagnosed annually, and about 160,000 lung cancer patients do not survive for more than five years. I like you went through breast cancer. In fact, there are more than three million cases in the united states every year.
Sometimes, people with pneumonia may have symptoms similar to lung cancer.
On the 26th i will have a biopsy of the lung. Lung cancer and pneumonia both cause the same symptoms and signs that may include: Many people get pneumonia at least once during their lifetime. When sarcoidosis affects the lungs, symptoms can mimic idiopathic pulmonary fibrosis including shortness of breath and a dry cough. It takes several years for the characteristic symptoms of lung cancer such as coughing up blood, fatigue, and unexplained weight loss to develop. These symptoms may also be present in patients who experience several types of respiratory infections and other conditions. The cancer can happen in any part of the lung tissue. Boop can mimic lung cancer.and lung cancer can quite easily be mistaken as a pneumonia. Pneumonia is an infection of lung tissue usually caused by viruses, bacteria, fungi, and/or parasites. Lung cancer is an uncontrolled and uncoordinated overgrowth of the lung tissue. Diagnostic errors occur frequently in medicine. But, time is of the essence. The first time in my early 40's the second time in my early 50's.
Jpu tarik tuntutan 1 tahun untuk valencya, istri yang marahi suami quiz rancang makeup look kondangan, kami ungkap pesona terdalammu Arab saudi hapus hukuman mati … 16.11.2021 · ptun tolak gugatan moeldoko yang minta disahkan jadi ketum demokrat mediaindonesia selasa 23 november 2021, 18:17 wib majelis hakim ptun jakarta lewat keputusannya di jakarta, hari ini, menyampaikan pihaknya tidak berwenang mengadili gugatan klb karena itu. Dalam surat itu, tertulis bahwa anies memberi kuasa kepada. Tembus 8 (delapan) besar lomba profil pelayanan pengadilan, ptun surabaya ikuti sesi wawancara. Struktur Organisasi - PENGADILAN TATA USAHA NEGARA MAKASSAR from ptun-makassar.go.id Berikut beberapa font yang sebaiknya tidak dipilih untuk membuat surat resmi. 16.11.2021 · ptun tolak gugatan moeldoko yang minta disahkan jadi ketum demokrat mediaindonesia ...
How To Make A Teacher's Day Card / How To Make A Teacher S Day Pop Up Greeting Card Thriftyfun / You can watch the video tutorial here or below. . 5th september happy teachers day greeting card. For card wording inspiration make sure to check out our article ' 100+ thank you teacher messages & quotes ' with 100+ ideas for teacher's day, end of year or just because. 50 beautiful teachers day greeting card pictures and images. First of all, let me tell you that a person should make a gift by himself because it provides more joy to the receivers as compared to the readymade. Paper card for teachers day how to make a homemade teacher s day card 7 steps with is related to general templates. In this video, i am going to show you special cards making at home.please like the video, if you liked the card. Change up the copy and font. Thank your teachers or your children's teachers with free online teacher day cards. Dear teacher, i wish you the mos...
No fasilitas kesehatan tarif 1 puskesmas atau fasilitas kesehatan yang setara rp 3.000,00 s.d rp 6.000,00 2 rs pratama, klinik pratama, praktek dokter atau fasilitas kesehatan yang setara rp 8.000,00 s.d rp 10.000,00 no fasilitas kesehatan tarif 3 praktik dokter gigi di luar fasilitas Puskesmas tidak termasuk dalam kriteria lokus pemetaan ns hasil pengolahan diperoleh: Tidak perlu ke dokter, scaling gigi bisa dilakukan di puskesmas terdekat. Harga membersihkan karang gigi di puskesmas cenderung lebih murah. Kapitasi sebesar rp9.000,00 (sembilan ribu rupiah) per peserta per bulan apabila memiliki minimal 2 (dua) orang dokter dan. 15+ Contoh Surat Lamaran Kerja Dokter Yang Baik dan Benar from contohsurat.co Di aceh besar, hkn diperingati dalam 3. Waspada, telah 39 dokter gigi meninggal. 1) dokter praktik mandiri kapitasi memperoleh sebesar r...
Komentar
Posting Komentar