How Do I Know If My Cat Has A Brain Tumour - Cat Nap Benefits and Guide / For example, if you have a tumor near the part of.
Dapatkan link
Facebook
X
Pinterest
Email
Aplikasi Lainnya
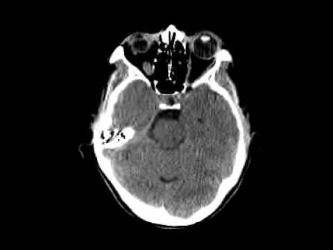
How Do I Know If My Cat Has A Brain Tumour - Cat Nap Benefits and Guide / For example, if you have a tumor near the part of.. How do i know when it is time to euthanize my cat? Scans provide a detailed 3d image of the brain by taking multiple pictures of the inside of your head. Find out more about eligibility for free nhs prescriptions and help with prescription costs. After taking a medical history, the doctor will examine the cat thoroughly. A normal temperature in cats ranges from 100.4º to 102.5º fahrenheit.
My cat has been to the vet a few times recently, including to get her teeth cleaned, and this was never picked up/ felt, despite her having hyperthyroidism and feline asthma and being palpated at each vet visit. Brain tumors come in all shapes and sizes—and so do their symptoms. Treatment includes surgery, radiation, chemotherapy or only focusing on the symptoms. This article originally appeared in prevention magazine. The most common early warning symptoms and signs of brain tumors include:
Brian Culbertson - So Good Lyrics | Genius Lyrics from images.genius.com As the person who knows your dog the best, you are likely to be the first one to notice any physical and psychological changes signaling a brain tumor. Possible symptoms of a dog brain tumor range from imperceptible to extreme.tumors may develop in any part of the brain, with symptoms evident over time or abruptly. Cat brain tumor symptoms include seizure if your cat is over 5 years of age as well as other signs of changes in behavior. In order to diagnose brain tumors in cats, doctors take a detailed history from the cat's owner. The kicker is they said my tumour, a ganglioglioma, (which thankfully was benign) was not even the cause of my migraines. Give stabbing pains if you do anything that increases the pressure in your head, for example. But you can't tell if your cat has a fever by feeling for a warm, dry nose, as many people believe. Brain tumours in dogs and cats can cause a wide variety of clinical signs which vary according to the part of the brain that is affected.
Get worse over a number of days;
Treatment includes surgery, radiation, chemotherapy or only focusing on the symptoms. Brain tumors come in all shapes and sizes—and so do their symptoms. Often worse in the morning; Your doctor will know your individual case and whether you may qualify under these, or other, rules. Brain tumours in dogs and cats can cause a wide variety of clinical signs which vary according to the part of the brain that is affected. Seizures seizures can be a sign of brain tumors in cats, most often seen in older cats with cancer, says dr. My cat has been to the vet a few times recently, including to get her teeth cleaned, and this was never picked up/ felt, despite her having hyperthyroidism and feline asthma and being palpated at each vet visit. The most common indication of a brain tumor in cats is seizures, especially seizures that begin to occur after the cat has reached at least five years of age. These seizures are often very severe causing the animal to collapse, salivate profusely, thrash around and occasionally void its bowels and bladder. The most common early warning symptoms and signs of brain tumors include: Possible symptoms of a dog brain tumor range from imperceptible to extreme.tumors may develop in any part of the brain, with symptoms evident over time or abruptly. Get worse over a number of days; After taking a medical history, the doctor will examine the cat thoroughly.
Brain ct scans may be done with or without contrast. contrast refers to a substance taken by. Treating your cat based on grading and staging when making a decision on how to treat your cat, it is very important to understand what grade and stage we are dealing with, because the treatment for each type is different. How do i know when it is time to euthanize my cat? Other signs of tumours (benign or cancerous) affecting internal organs can include loss of appetite, weight loss, lethargy and weakness, difficulty in breathing, limping and recurrent digestive problems. Brain tumors come in all shapes and sizes—and so do their symptoms.
Pinky and the Brain Surgery: January 2013 from 2.bp.blogspot.com An abnormal movement in a limb, for example. According to the us centers for disease control and prevention someone in the united states has a stroke every 40 seconds, and strokes are responsible for 1 out of every 20 deaths. while strokes in cats are nowhere near that frequent, veterinarians are starting to realize that they do occur more often than we used to think, probably because more cats are now getting the diagnostic. I absolutely adore my cat and don't want her to suffer. A fever in cats occurs when temperatures rise above 102.5º f. Get worse over a number of days; But you can't tell if your cat has a fever by feeling for a warm, dry nose, as many people believe. Signs and symptoms of brain cancer in cats if your pet displays these signs or symptoms of brain cancer, have your pet examined by your primary care veterinarian as soon as possible. Chemotherapy is usually pursued for systemic disease.
Other signs of tumours (benign or cancerous) affecting internal organs can include loss of appetite, weight loss, lethargy and weakness, difficulty in breathing, limping and recurrent digestive problems.
Over your lifetime, the odds of developing a cancerous brain tumor are less than 1%. But you can't tell if your cat has a fever by feeling for a warm, dry nose, as many people believe. Signs and symptoms of brain cancer in cats if your pet displays these signs or symptoms of brain cancer, have your pet examined by your primary care veterinarian as soon as possible. Secondary brain tumors, which are called metastases, are tumors that have spread to the brain from a tumor in another part of the body (i.e., metastasized). Chemotherapy is usually pursued for systemic disease. What do i do if i do not believe in euthanasia? So i imagine it's a tumour that grew very rapidly, though i cannot know. Your doctor will know your individual case and whether you may qualify under these, or other, rules. In order to diagnose brain tumors in cats, doctors take a detailed history from the cat's owner. The most common indication of a brain tumor in cats is seizures, especially seizures that begin to occur after the cat has reached at least five years of age. Headaches are one of the main symptoms of a brain tumour, but of course there can be many reasons for having a headache. Staging is always recommended before primary therapy is pursued. Clinical signs range from mild to severe, and may include respiratory distress, hemorrhage, and neurological problems.
An abnormal movement in a limb, for example. Treatment includes surgery, radiation, chemotherapy or only focusing on the symptoms. Check your cat every now and then to see if he has developed any new masses on his body. Headaches caused by a brain tumour tend to: Primary brain tumors are tumors that originate from the tissues of the brain or the membranes covering the brain (meninges).
There's A Tumour In My Brain, But It's Dead (The Tumour ... from edge.alluremedia.com.au If you cat starts walking with a limp have your veterinarian check for this problem. Reduced sensation, weakness, loss of balance or staggering, visual impairment or blindness, and changes in sense of smell can happen. Brain ct scans may be done with or without contrast. contrast refers to a substance taken by. Chemotherapy is usually pursued for systemic disease. Treating your cat based on grading and staging when making a decision on how to treat your cat, it is very important to understand what grade and stage we are dealing with, because the treatment for each type is different. Headaches caused by a brain tumour tend to: Radiation therapy is usually pursued for localized disease. Secondary brain tumors, which are called metastases, are tumors that have spread to the brain from a tumor in another part of the body (i.e., metastasized).
What do i do if i do not believe in euthanasia?
My cat has been to the vet a few times recently, including to get her teeth cleaned, and this was never picked up/ felt, despite her having hyperthyroidism and feline asthma and being palpated at each vet visit. In order to diagnose brain tumors in cats, doctors take a detailed history from the cat's owner. Check your cat every now and then to see if he has developed any new masses on his body. Treatment includes surgery, radiation, chemotherapy or only focusing on the symptoms. Cancers reveal themselves in the form of growths and tumors. Scans provide a detailed 3d image of the brain by taking multiple pictures of the inside of your head. Secondary brain tumors, which are called metastases, are tumors that have spread to the brain from a tumor in another part of the body (i.e., metastasized). Primary brain tumors are tumors that originate from the tissues of the brain or the membranes covering the brain (meninges). I absolutely adore my cat and don't want her to suffer. The key to a tumor's symptoms really depends on its location, says theodore schwartz, md, a neurosurgeon with the weill cornell brain and spine center. A normal temperature in cats ranges from 100.4º to 102.5º fahrenheit. How do i know when it is time to euthanize my cat? Compare top pet insurance plans.
Jpu tarik tuntutan 1 tahun untuk valencya, istri yang marahi suami quiz rancang makeup look kondangan, kami ungkap pesona terdalammu Arab saudi hapus hukuman mati … 16.11.2021 · ptun tolak gugatan moeldoko yang minta disahkan jadi ketum demokrat mediaindonesia selasa 23 november 2021, 18:17 wib majelis hakim ptun jakarta lewat keputusannya di jakarta, hari ini, menyampaikan pihaknya tidak berwenang mengadili gugatan klb karena itu. Dalam surat itu, tertulis bahwa anies memberi kuasa kepada. Tembus 8 (delapan) besar lomba profil pelayanan pengadilan, ptun surabaya ikuti sesi wawancara. Struktur Organisasi - PENGADILAN TATA USAHA NEGARA MAKASSAR from ptun-makassar.go.id Berikut beberapa font yang sebaiknya tidak dipilih untuk membuat surat resmi. 16.11.2021 · ptun tolak gugatan moeldoko yang minta disahkan jadi ketum demokrat mediaindonesia ...
Can Lung Cancer Be Mistaken For Pneumonia - Emdocs Net Emergency Medicine Educationpneumonia Mimics Pearls And Pitfalls Emdocs Net Emergency Medicine Education : It may be more difficult to identify. . Lung cancer and pneumonia both cause the same symptoms and signs that may include: Doctors sometimes mistake pneumonia for other conditions, leading to dangerous delays in treatment. Diagnostic errors occur frequently in medicine. Amanda nerstad thought she had mild walking pneumonia but was diagnosed with stage 4 lung cancer. However, bacteria and viruses cause the majority of pneumonia infections. Lung cancer is sometimes found this way. Find out more about her lung cancer symptoms and treatment. Was told to wait 6 months and ct scan again. I had pneumonia 2007 that progressed from no symptoms to er in < 48hrs., successfully treatted with iv antiobiotics and hydration. In this article they describe a variety of pulmonary conditions that can present with imaging fe...
How To Make Shaped Cards - Https Encrypted Tbn0 Gstatic Com Images Q Tbn And9gcscgg9mhzwg46mkxwxlbprqtgstdhgdzad Vzvka Skll82rmpk Usqp Cau : See more ideas about shaped cards, cards, cards handmade. . I made it a top folding card so i could cut out the neckline with a circle die. Leave the top of the plate just overhanging the spine, and that will keep the back and front joined, otherwise your card will be two separate rounds. These shaped christmas cards from julie gibbs are the mark of a classic christmas. Fortunately, the silhouette can make cards faster than i could even drive to the store, browse the card aisle, pick just the perfect one out, and hand over my hard earned cash. You will learn how to weld and use the attach features!shop with me at: They are available in different sizes. Cutting files shared in the video a. Crimp a narrow piece of card stock and you can easily bend along the edge of the sweater. I had the exact colour of buttons in my stash. Posit...
Komentar
Posting Komentar